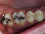
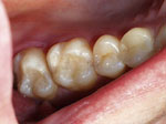
Mercury is a highly toxic substance. While some dentists still feel comfortable placing it in their patient’s mouths – we don’t.

We feel strongly that the potential side effects of mercury should be eliminated by replacing them with BEAUTIFUL white bonded restorations.

In the images above, the back 2 teeth used to be filled with dark silver fillings and they were replaced with beautiful bonded restorations.