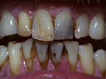
Wow, this patient thought that no dentist could help him… but was he ever wrong.


Although there was so much that could be done, he only wanted to fix his 4 front teeth so he could smile….. and look at what a difference this made for him!!
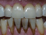
Wow, this patient thought that no dentist could help him… but was he ever wrong.


Although there was so much that could be done, he only wanted to fix his 4 front teeth so he could smile….. and look at what a difference this made for him!!
We warmly invite you to experience exceptional care at our practice. Our facility is designed with your comfort and convenience in mind, featuring modern amenities and a welcoming atmosphere. Our dedicated team is here to provide personalized attention and address all your needs with professionalism and compassion.